5年生のICT活用(18)その2
- 公開日
- 2017/09/05
- 更新日
- 2017/09/05
ICTモデル校実践・次世代モデル校実践
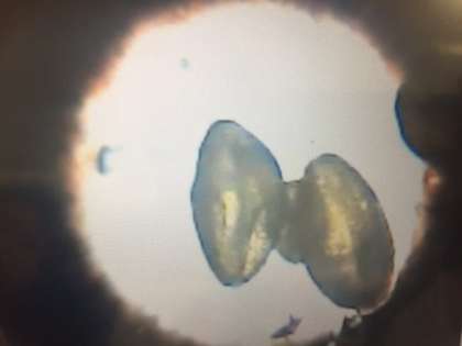
花粉をしっかりと観察できました!
お知らせ
運営に関する計画
全国調査結果と分析
新一年生保護者の方々へ
非常変災害時の措置
学校のきまり
2025年度
2024年度
2023年度
2022年度
2021年度
2020年度
2019年度
2018年度
2017年度
2016年度
2015年度
2014年度
2013年度