2年生理科実験
- 公開日
- 2019/06/11
- 更新日
- 2019/06/11
お知らせ
先週の2年生理科の授業で、教育実習の先生と細胞の観察を行いました。
久しぶりに顕微鏡を使うので、使い方を思い出しながら進めました。
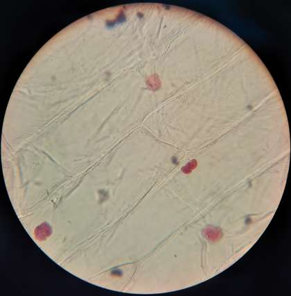
タマネギの表皮をはがしたもので植物細胞を、頬の内側の細胞を綿棒でこすりとったもので動物細胞を観察しました。染色液で核が染まっているのが見られました。観察、スケッチともに一生懸命取り組んでいました。
写真は、観察の様子、植物細胞と動物細胞の顕微鏡写真です。
お知らせ
先週の2年生理科の授業で、教育実習の先生と細胞の観察を行いました。
久しぶりに顕微鏡を使うので、使い方を思い出しながら進めました。
タマネギの表皮をはがしたもので植物細胞を、頬の内側の細胞を綿棒でこすりとったもので動物細胞を観察しました。染色液で核が染まっているのが見られました。観察、スケッチともに一生懸命取り組んでいました。
写真は、観察の様子、植物細胞と動物細胞の顕微鏡写真です。
2025年度
2024年度
2023年度
2022年度
2021年度
2020年度
2019年度
2018年度
2017年度
2016年度
2015年度
2014年度
2013年度