6月19日(水) 1年生 理科の実験2
- 公開日
- 2019/06/19
- 更新日
- 2019/06/19
お知らせ
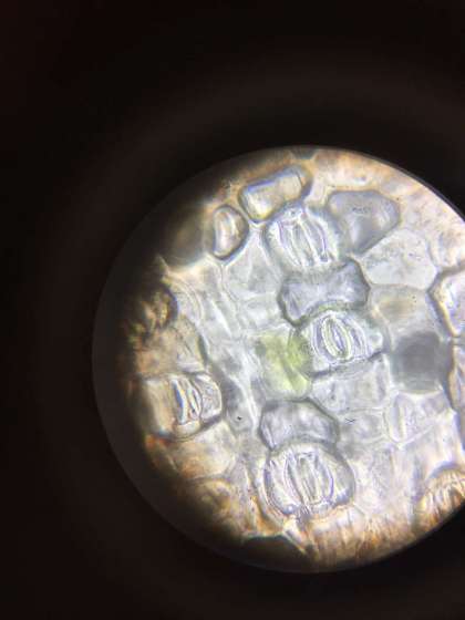
気孔がはっきりと見えました!!
運営に関する計画
佃中学校のあゆみ
学校協議会
月間行事予定
学年だより(2年)
学年だより(3年)
学校だより
2025年度
2024年度
2023年度
2022年度
2021年度
2020年度
2019年度
2018年度
2017年度
2016年度
2015年度
2014年度
2013年度