メダカの卵が生まれました!(5年 理科)
- 公開日
- 2025/06/10
- 更新日
- 2025/06/10
5年
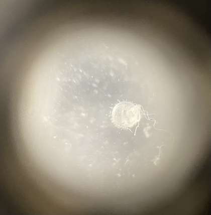
理科でメダカの誕生について学習しています。
毎日、メダカの様子が気になる子どもたち。
たまごが生まれたので、解剖顕微鏡で観察しました。
これからどのようにメダカになるのでしょうか。
しっかり観察していきたいです。
2026年度
2025年度
2024年度
2023年度
2022年度
2021年度
2020年度
2019年度
2018年度
2017年度
2016年度
2015年度
2014年度
2013年度