5年 理科 おばなの先についている粉の正体
- 公開日
- 2023/09/05
- 更新日
- 2023/09/05
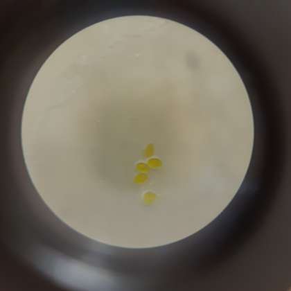
5年生
前回おばなとめばなの花のつくりについて学習した際に、おばなの先には粉がついていました。
さて、この粉は何でしょう?
けんび鏡を使って観察しました。
「まんまるじゃないのか」
「ゴマみたいな形!」
肉眼でみると粉に見えましたが、一つ一つはだ円形の黄色いかたまりでした。
5年生
前回おばなとめばなの花のつくりについて学習した際に、おばなの先には粉がついていました。
さて、この粉は何でしょう?
けんび鏡を使って観察しました。
「まんまるじゃないのか」
「ゴマみたいな形!」
肉眼でみると粉に見えましたが、一つ一つはだ円形の黄色いかたまりでした。
配布資料
交通安全マップ
学校からのお知らせ
2026年度
2025年度
2024年度
2023年度
2022年度
2021年度
2020年度
2019年度
2018年度
2017年度
2016年度
2015年度
2014年度
2013年度