学校日記

顕微鏡で見えました!

公開日
2022/06/09
更新日
2022/06/09

6年生

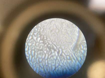
理科の学習では、「植物のつくりとはたらき」を学習しています。
顕微鏡を使い、気こうの観察をしました。
顕微鏡のピントを合わせるのに苦戦ししている班もありましたが、
どの班も熱心に観察に取り組んでいました。



♯気こうってコーヒー豆みたい!?