葉緑体観察実験
- 公開日
- 2013/06/13
- 更新日
- 2013/12/16
授業風景
本校の「理科」では、実験や観察の授業を積極的に行っています。
1年生の授業では、今週に入って「オオカナダモ」の葉緑体を観察記録しています。植物が光合成を行い、酸素やでんぷんを生成する不思議を追及していきます。今日の理科室でも、生徒たちの好奇心は科学の世界を覗き込んでいます!
授業風景
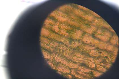
本校の「理科」では、実験や観察の授業を積極的に行っています。
1年生の授業では、今週に入って「オオカナダモ」の葉緑体を観察記録しています。植物が光合成を行い、酸素やでんぷんを生成する不思議を追及していきます。今日の理科室でも、生徒たちの好奇心は科学の世界を覗き込んでいます!
PTA関係
学校評価
標準服の見直し
行事予定
保護者向け配布プリント