5年 理科「メダカのたんじょう」
- 公開日
- 2018/06/25
- 更新日
- 2018/06/25
中央小
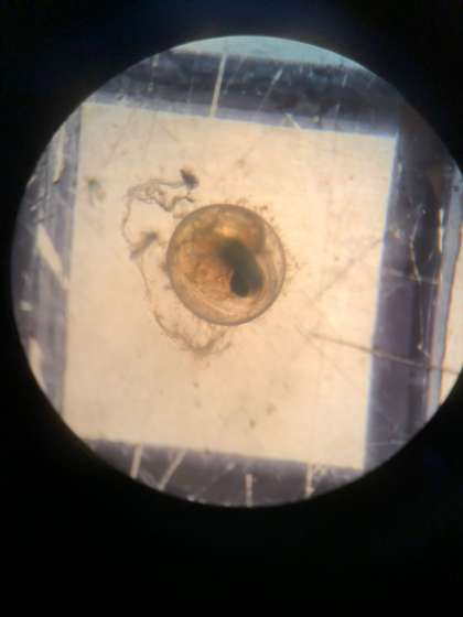
メダカの卵の中でメダカの体ができていく様子を顕微鏡を使って観察しました。心臓が動く様子や血液が流れる様子を見ることができました。
顕微鏡の扱いもどんどん上手になっています。
中央小
メダカの卵の中でメダカの体ができていく様子を顕微鏡を使って観察しました。心臓が動く様子や血液が流れる様子を見ることができました。
顕微鏡の扱いもどんどん上手になっています。
安心・安全のために
学校だより
学年だより
保健室より
各種お知らせ
2025年度
2024年度
2023年度
2022年度
2021年度
2020年度
2019年度
2018年度
2017年度
2016年度
2015年度
2014年度
2013年度