学校日記

◎◎ 歯と口の健康について勉強しました ◎◎

公開日
2016/05/06
更新日
2016/05/06

お知らせ

 4月27日 6年生は 歯科衛生士の先生より、歯と口を健康にするための勉強をしました。「はみがきを毎日 ていねいにするだけで はぐきの病気はなおっていく」ということや はみがきのほかに 「しっかりかんで食べること」「だらだらとおやつを食べない」ということも 歯や 口の中を健康にたもつために大切なことだと学びました。

 ご家庭でも 寝る前に ていねいに歯みがきできるよう お声をかけてあげてください。 
 
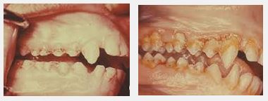
 さて クイズです

下の写真は 動物園のサル と 野生のサル の口の中です。
 左の写真は・・・はぐきが ひきしまっていて ピンク色
 右の写真は・・・はぐきが 赤くはれ ぶよぶよしている
         歯の根元にも ごっそり歯垢(しこう)がついている

 動物園のサルの口の中は どちらでしょう

 どちらか クリックしてください。