学校日記

5年 理科 メダカのたんじょう

公開日
2020/07/22
更新日
2020/07/22

5年生

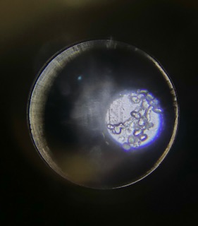
 7月の理科ではメダカのたんじょうについて学習しています。メダカのオスとメスでは背びれと腹びれの作りが違うことや、産卵とその後の成長についても実際に顕微鏡を使って卵を観察しました。また、産まれてから数日はエサを食べなくても、お腹の中にある養分で過ごすことができることを知りました!