気孔の観察
- 公開日
- 2021/06/09
- 更新日
- 2021/06/09
6年生
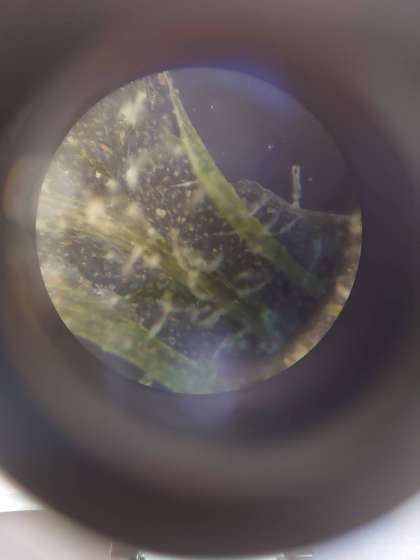
理科の学習では、葉の裏の膜を丁寧にはがし、顕微鏡で気孔の観察を行いました。
綺麗に観察ができ、記録に残そうとタブレットで撮影をしていました。
ブレるため、タイミングを合わすことが難しそうでしたが、次第にコツをつかみ、綺麗に撮ることもできていました。
2025年度
2024年度
2023年度
2022年度
2021年度
2020年度
2019年度
2018年度
2017年度
2016年度
2015年度
2014年度
令和6年度「全国体力・運動能力、運動習慣等調査」【大阪市の結果】