東中日記・blog

1年生「水中の微生物」

公開日
2017/04/21
更新日
2017/04/21

行事

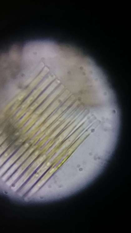
顕微鏡の実技テストを終えてピント合わせをマスターし、本日は池の水に住む微生物を観察してスケッチの学習です。
初めは緑色の水に、尻込みの様子も見られましたが、微生物を見つけてみると「もっと探す!」と楽しく観察していました。

写真(生物名は推測)
1枚目ミジンコ
2枚目オビケイソウ
3枚目カイミジンコ?