大阪市立北稜中学校

3年生 理科「花粉管の観察」

公開日
2017/05/24
更新日
2017/05/24

お知らせ

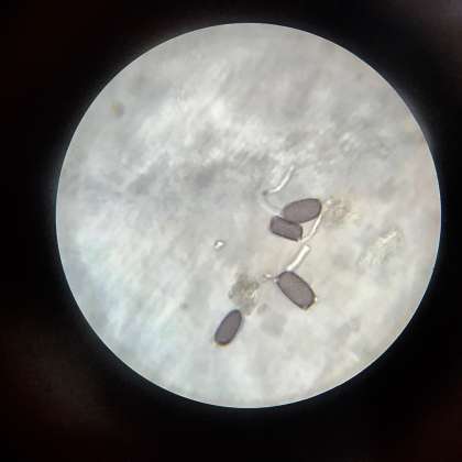
 3年生理科では、インパチェンスの花粉管の観察をしました。花粉に10%砂糖水を加えて直後から5分後、10分後と時間が経つごとに花粉管が成長する様子を記録しました。
 丁寧に観察をしたおかげで、長く成長した花粉管細胞の中を内容物が流れていく様子まで観察できた班もありました。